Welcome to Our Smile Gallery
Smile Gallery
Smiles are the greatest asset of your personality. Showing off your new smile is a great way to improve your self-esteem. Our team is proud to share the hard work and determination required to make your smile special. Our gratification comes from the smiling results of our patients. Look at what your new smile can do for you. Please check back often as we continually update our “Patient Gallery” page. If you would like to have your smile on our website, please call our office.
-
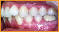
Before Photos
Start
-
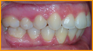
After Photos
Completed treatment in 14 months.Conventional braces would have been 18-24 months.
-
Before Photos
Start
-
After Photos
Completed treatment In 10 months. Conventional treatment would of have been 18 months.
-
Before Photos
Initial Surgery &
-
After Photos
Completed treatment in 26 months. Conventional braces would have taken 36 months.
-
Before Photos
Start Clear Aligners
-
After Photos
Completed in 14 months.
-
Before Photos
Start
-
After Photos
Completed in 6 months. Conventional braces would have taken 12-16 months.
.jpg)

















































